ĐIỀU TRỊ VIÊM NƯỚU - LẤY VÔI RĂNG
1. Viêm nướu răng là gì?
Viêm nướu răng là một bệnh thuộc về bệnh nướu răng. Trong các giai đoạn của bệnh nướu răng, viêm nướu là giai đoạn khởi phát đầu tiên của bệnh. Nếu bệnh nhân được chữa trị kịp thời ngay giai đoạn khởi phát này, bệnh vẫn có khả năng hồi phục hoàn nguyên (nướu trở về trạng thái khỏe mạnh ban đầu) vì chưa tổn thương đến xương và mô liên kết răng.
Đây là bệnh khá nhiều người gặp phải, do việc chải răng hoặc sử dụng chỉ nha khoa sai cách, nên không loại bỏ hết các mảng bám trên răng, lâu ngày các mảng bám này hình thành trên đường viền nướu gây ra tình trạng nướu bị viêm. Từ đây, những độc tố từ mảng bám sẽ gây ra các tác động xấu ảnh hưởng đến mô nướu, dẫn đến viêm nướu.

Một số triệu chứng phổ biến, giúp bạn nhận biết để xác định bản thân có đang bị viêm nướu hay không: Chảy máu nướu khi đánh răng hoặc khi dùng chỉ nha khoa; nướu có thể đỏ, sưng, phồng, dễ kích ứng.
Phương pháp điều trị duy nhất đối với bệnh viêm nướu đó là loại bỏ mảng bám hình thành ở trên, dưới nướu răng và qua thời gian bị cứng lại. Đây được gọi là lấy vôi răng. Sau khi lấy vôi răng, bạn cần kết hợp với việc chải răng, sử dụng chỉ nha khoa đúng cách và thường xuyên, sẽ ngăn ngừa hình thành mảng bám trở lại.
.jpg)
Khám răng định kỳ giúp phát hiện sớm và điều trị kịp thời bệnh nướu răng ngay từ giai đoạn khởi phát, nhằm ngăn ngừa bệnh tiến triển sang giai đoạn nặng hơn như: Viêm nha chu, viêm nha chu tiến triển.
2. Điều trị Viêm nướu và lấy vôi răng tại Nha khoa Thiên Chương.
Sau khi được bác sĩ khám và phát hiện bệnh nhân bị Viêm nướu sẽ được chỉ định Lấy vôi răng.
Quy trình lấy vôi răng sau:
Đầu tiên răng được cạo sạch để loại bỏ mảng bám và vôi đã bám cứng trên răng.
Tiếp theo đến phần thân răng nằm sâu dưới nướu cũng được làm sạch và nhẵn. Điều này sẽ loại bỏ được bất kỳ những mãng bám nào dù là cứng nhất một cách dễ dàng. Vôi răng được cạo bằng máy siêu âm giúp thực hiện êm hơn hạn chế tối đa việc đau buốt.

Một thân răng sạch và nhẵn, đảm bảo cho răng, nướu chắc, khoẻ. Là cách tốt nhất giúp hạn chế tối đa việc chảy máu răng, sưng nướu, tụt nướu, giảm bớt sự khó chịu do chứng viêm nướu, ngăn ngừa việc mất răng và tiêu xương. Đem lại một nụ cười tự tin và đẹp.

Cuối cùng một chổi đánh bóng và chất đánh bóng được sử dụng để làm bóng mặt trong cũng như mặt ngoài của răng. Mục đích của việc đánh bóng bề mặt răng sẽ làm bề mặt này mịn mà và giúp ngăn trở, giảm thiểu sự tích lũy mãng bám trên răng dễ gây ra những bệnh về răng miệng.
Đối với những trường hợp bạn chưa từng đến nha khoa để lấy vôi răng thì thời gian sẽ lâu hơn và có thể phải qua 2 lần mới làm sạch vôi răng được. Thời gian lấy vôi răng từ 20 - 40 phút tùy vào tình trạng vôi răng của bệnh nhân.

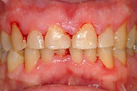
Trước khi lấy vôi răng
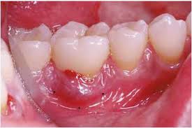
Sau khi lấy vôi răng
- Nên lấy vôi răng 6 tháng 1 lần, đối với những bệnh nhân bị nha chu nên 3 tháng lấy vôi răng 1 lần. Nếu đánh răng và chăm sóc răng miệng đúng cách tối đa 1 năm nên đi lấy vôi răng 1 lần.
- Chải răng kỹ lưỡng, sạch sẽ, đều đặn hàng ngày với kem đánh răng ngay mỗi khi ăn và tối trước khi ngủ là việc làm hết sức quan trọng,khoa học và hiệu quả nhất để phòng ngừa bệnh sâu răng và bệnh viêm nướu.
Các tin khác