Nha Khoa Thiên Chương

Nha Khoa Thiên Chương

KHÁM RĂNG TỔNG QUÁT
Vì sao phải khám răng định kỳ?
          Việc khám và chăm sóc răng miệng định kỳ rất cần thiết trong việc phòng ngừa các bệnh về răng miệng đồng thời giúp phát hiện sớm nhất các bệnh lý về răng miệng. Nhưng trong thực tế có rất nhiều bệnh nhân thường gặp phải những vấn đề nghiêm trọng mới tìm tới nha sĩ, điều này khiến cho việc điều trị trở lên khó khăn hơn và chi phí tốn kém hơn.
          Những chiếc răng khỏe mạnh với hơi thở thơm tho để tự tin tỏa sáng nụ cười của chính mình là đều rất quan trọng trong cuộc sống hàng ngày của mỗi chúng ta. Vì vậy hãy lên lịch và dành thời gian để khám kiểm tra sức khỏe răng miệng định kỳ ít nhất 6 tháng/1 lần. Đó là lời khuyên của các nha sĩ cho mỗi người nên tạo thói quen tốt trong việc chăm sóc răng miệng.
   
Khám răng tại nha khoa Thiên Chương.
          Đến với Nha khoa Thiên Chương quý khách hàng sẽ được khám và tư vấn miễn phí.
         Khám và chuẩn đoán bệnh là khâu quan trọng để lên kế điều trị chính xác các bệnh về răng miệng. Vì vậy việc khám và chuẩn đoán bệnh luôn được các Nha sĩ hàng đầu và có kinh nghiệm tại Nha khoa Thiên Chương phụ trách.
        - Bác sĩ sẽ thực hiện chụp hình bằng camera nội soi để bệnh nhân thấy được tình trạng riêng miệng của mình. Qua thăm khám, bác sĩ sẽ phát hiện giúp bạn những răng bị sâu, những bệnh lý về nướu răng (viêm nướu,viêm  nha chu, nhiễm nấm, những sang thương ung thư…) hoặc những bất thường khác ( răng hô, móm, răng mọc chen chúc, thiếu chỗ mọc răng, thiếu mầm răng, răng mọc lệch lạc . . . ), từ đó sẽ có những biện pháp điều trị kịp thời.
 
         - Khi khám tổng thể sức khỏe răng, nha chu (toàn bộ khu vực xung quanh răng) và các cấu trúc trong miệng; ngoài kiểm tra trực tiếp của nha sĩ về tình trạng răng, nha chu thì việc chụp phim là cần thiết để đánh giá đầy đủ và chính xác tình trạng xương hàm và các cấu trúc bên trong. 
 
                        + Chụp X-quang quanh chóp: đánh giá đối với một vùng răng cấn được                                     chẩn đoán bệnh để đưa ra kế hoạch điều trị chính xác.

       



                    + Phim X-quang CT: cung cấp hình ảnh 3 chiều chi tiết toàn
                       bộ cấu trúc vùng hàm; giúp đánh giá đúng chất lượng xương
                       (độ đặc loãng) và số lượng xương, xác định dây thần kinh
                       hàm dưới,.. và đặc biệt trong phẫu thuật cấy ghép Implant, 
                       phim X-quang – CT giúp chọn đúng vị trí và hướng cắm Implant.
       

 
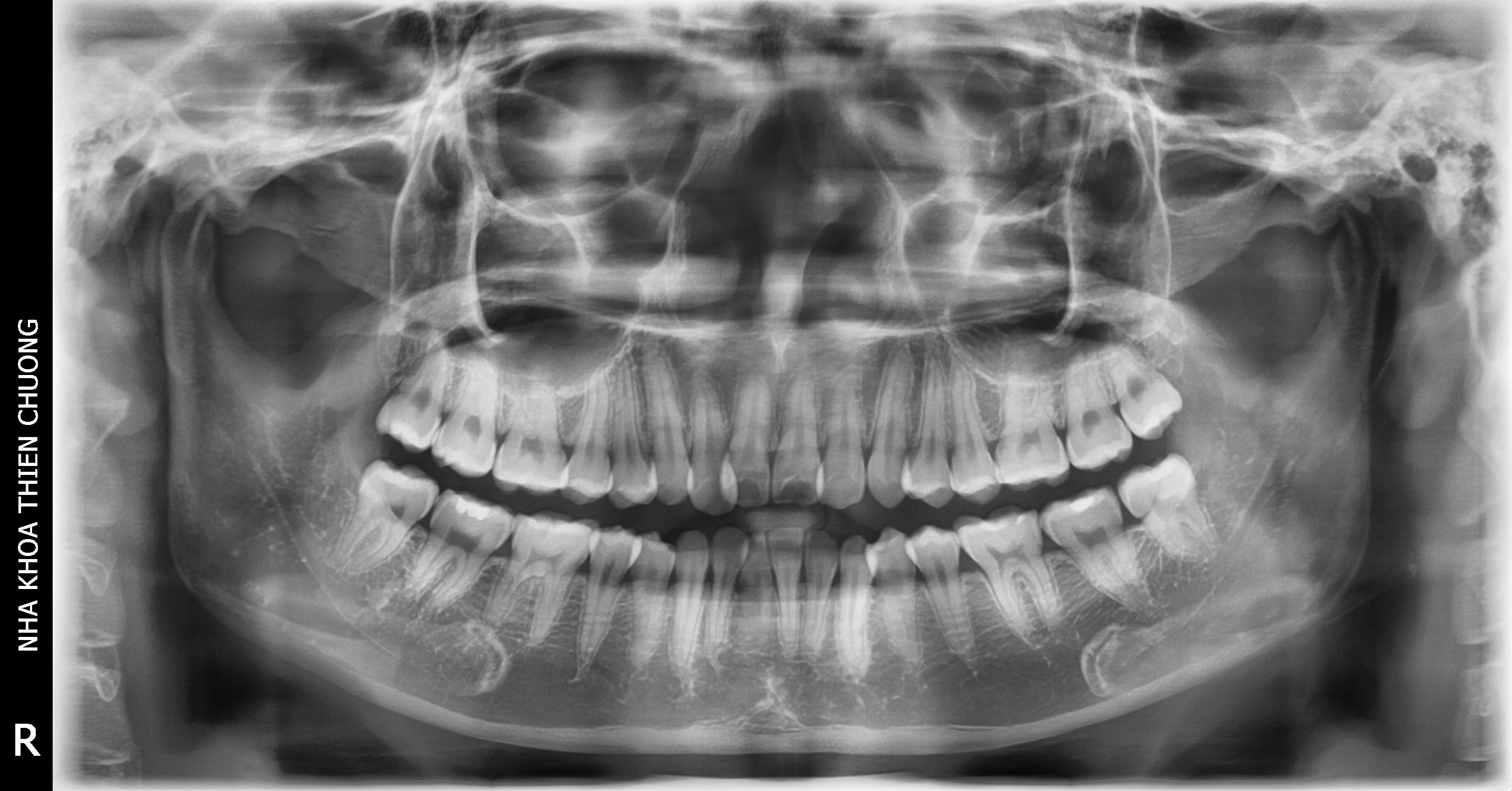
                     + Phim X – quang toàn cảnh: cung cấp hình ảnh cho thấy được                          toàn bộ tình trạng xương hàm, răng, nha chu; xác định được vị                           trí răng sâu, răng ngầm, răng đã lấy tủy, răng bị nhiễm trùng.
  
       
                     
                      
                    + Phim X – quang sọ nghiêng: cho hình ảnh về tình trạng

                     xương sọ mặt, rất cần thiết trong chỉnh hình răng hàm mặt như niềng răng.  
       





             Khám răng tổng quát quý khách hàng sẽ biết rõ được tình trạng sức khỏe răng miệng của chính mình, đồng thời sẽ được tư vấn toàn diện về cách lựa chọn các dịch vụ điều trị phù hợp nhất với chính mình.
Nha Khoa Thiên Chương
Hotline: 02573.826336 - 0983.407.972
Email: nhakhoathienchuong@gmail.com