Nha Khoa Thiên Chương

Nha Khoa Thiên Chương

          NHỔ RĂNG 

           Nhổ một răng là lấy răng đó ra khỏi xương hàm, nhổ răng tốt là không để sót chân răng. Nhổ răng hoàn toàn không ảnh hưởng gì đến dây thần kinh mặt hay mắt như một số bệnh nhân thường hay sợ hãi.
 

I. Những nguyên nhân phải nhổ răng:
1. Sâu răng: Khi sâu răng đã quá trầm trọng, không thể trám hay điều trị nội nha được nữa thì cũng cần phải nhổ.
 2. Bệnh nha chu trầm trọng: trong trường hợp này răng bị lung lay đáng kể do xương bao bọc, hỗ trợ xung quanh răng đã bị tiêu huỷ, không thể phục hồi được nữa. Việc nhổ răng là phương án đơn giản và tiết kiệm nhất.
 3. Răng bị nhiễm trùng: Nhiễm trùng phá hủy phần lớn răng hoặc phần xương xung quanh.
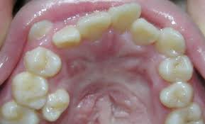
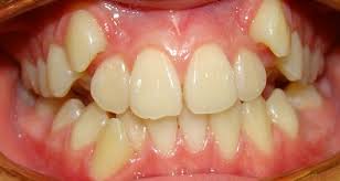
 4. Răng mọc lệch: Phổ biến nhất là răng nanh hàm trên và răng khôn. Trong trường hợp răng khôn mọc lệch thì nhổ răng là cách duy nhất để ngăn chặn những tình huống xấu hơn có thể xảy ra.
 5. 
Chỉnh hình răng: Đôi khi cần nhổ răng để tạo những khoảng trống cần thiết cho điều trị chỉnh hình răng.
 6. Chấn thương: trong những trường hợp gãy răng, gãy chân răng, không thể chữa trị được bằng phương pháp trám răng hay phục hình.
 7. Yếu tố kinh tế: Một số ít người chọn phương án nhổ răng đau, răng sâu thay vì chọn biện pháp trám răng, chữa răng tốn kém vì lý do kinh tế.
     
                          Răng sâu    Răng nha chu trầm trọng   Răng bị nhiễm trùng  
     
                    Răng mọc lệch   Răng chỉnh hình             Răng bị chấn thương  

II. Quy trình nhổ răng tại Nha Khoa Thiên Chương.
          1. Khám tư vấn:
           Bác sĩ tiến hành thăm khám tổng quát sức khỏe răng miệng, chụp phim X-quang quanh chóp hoặc X-quang toàn hàm (nếu cần thiết) ghi nhận đặc điểm, hình dạng của những răng cần nhổ và các răng xung quanh.
 
                   X- Quang quanh chóp   X- Quang toàn hàm

          Từ đó, bác sĩ nhận định được mức độ khó dễ của ca tiểu phẫu. Điều này đặc biệt quan trọng đối với các ca nhổ răng khôn.
          Bác sĩ kê đơn thuốc kháng sinh trước một vài ngày cho bệnh nhân nhằm tăng khả năng kháng khuẩn cho cơ thể trước khi nhổ răng.
          * Đối với bệnh nhân:
          + Bệnh nhân cần thông báo cho bác sĩ biết tiền sử bệnh mãn tính ( tim mạch, huyết áp, tiểu đường, máu khó đông…) cụ thể cho bác sĩ biết càng sớm càng tốt và phải kiểm soát tốt bệnh của mình.
          + Đối với bệnh nhân nữ không nên nhổ răng trong thời gian kinh nguyệt hoặc đang mang thai.
           2. Lấy vôi răng vệ sinh răng miệng:
           Để đảm bảo việc nhổ răng được an toàn, khoan miệng của bệnh nhân trước khi nhổ phải sạch sẽ và khỏe mạnh. Vì vậy bác sĩ sẽ đề nghị bệnh nhân nên lấy vôi răng (nếu có) và vệ sinh răng miệng trước khi nhổ.
          3. Tiến hành nhổ răng:
           Phòng nha chuẩn bị trước phòng mổ phục vụ cho việc nhổ răng.
          Vệ sinh, khử trừng dụng cụ, thiết bị trước khi nhổ răng đảm bảo an toàn cho bệnh nhân.

          Bác sĩ vệ sinh sạch sẽ răng miệng, để không đau đớn và tạo sự thoải mái cho bệnh nhân, bác sĩ gây tê cho bệnh nhân trước khi nhổ răng.

          Bác sĩ làm lung lay răng bằng cây nạy nha khoa, sau đó dùng kìm chuyên dụng nhổ răng ra khỏi xương hàm.

         4. Cầm máu.
         Bác sĩ thực hiện đặt kem co mạch để cầm máu cho bệnh nhân.
         Sau nhổ răng, bệnh nhân cần cắn gòn cầm máu ít nhất trong 10 phút.
         Kết thúc quá trình, bác sĩ Nha khoa Thiên chương sẽ kê thuốc giảm đau, thuốc kháng sinh sau khi nhổ răng và hẹn lịch tái khám, cắt chỉ cho bệnh nhân.
         Bệnh nhân sau khi nhổ răng cần tuân thủ theo hướng dẫn sau:
         – Một vài ngày đầu tiên, một bên má phía nhổ răng sẽ bị sung và đau. Bạn cần chướm túi lạnh và túi ấm, chúng sẽ giảm sung và làm tan máu bầm hiệu quả.
        –  Một vài ngày đầu nên ăn thức ăn mềm, dạng lỏng. Sau đó có thể ăn thức ăn bình thường, nhưng tốt nhất là nên làm nhỏ thức ăn và tránh nhai bên phía nhổ răng.
        – Tránh các thức ăn quá nóng hoặc quá lạnh.
        – Tránh chạm tay vào vết thương, uống nước bằng ống hút…sẽ rất dễ nhiễm trùng vết mổ.
        – Tránh sử dụng thuốc lá, các thức uống có cồn sau khi nhổ răng.

 
Nha Khoa Thiên Chương
Hotline: 02573.826336 - 0983.407.972
Email: nhakhoathienchuong@gmail.com