NHỔ RĂNG KHÔN
Răng khôn là răng nằm phía trong cùng của hai hàm răng ở người trưởng thành. Loại răng này mọc ở người từ 17 đến 25 tuổi. Nằm phía trong cùng của hàm răng, răng khôn hay còn gọi là răng số 8 là răng mọc cuối cùng của mỗi người. Đây là răng gây nhiều tranh cãi bởi vì chức năng của nó không rõ ràng nhưng những phiền toái mà nó mang lại rất phổ biến.

Biến chứng thường gặp khi răng khôn mọc bất thường:
Viêm nướu trùm, viêm mô tế bào, các răng mọc lệch gây nhồi nhét thức ăn, vùng này lại rất khó vệ sinh làm sạch nên lâu ngày gây nên hiện tượng viêm nhiễm, sưng đỏ, đau quanh thân răng, viêm nướu trùm, sau đó tạo túi mủ (áp xe), cứng hàm. Tình trạng viêm nhiễm kéo dài sẽ phá hủy xương xung quanh răng này và các răng bên cạnh. Trong các trường hợp nặng có thể gây viêm xương hàm, nhiễm trùng huyết…
 |
 |
 |
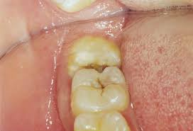
| Viêm lợi trùm |
Viêm mô tế bào |
Răng mọc lệch gây nhồi nhét thức ăn |
Sâu răng kế bên, khi răng khôn mọc lệch, kẹt nghiêng tựa vào răng kế bên, vị trí này thường bị nhồi nhét thức ăn, viêm nhiễm, mà rất khó làm sạch được. Kết quả là bản thân các răng này và các răng kế cận bị sâu. Cần chú ý răng kế cận răng khôn là răng cối lớn thứ hai, là răng có vai trò rất quan trọng tham gia vào quá trình ăn nhai.
Nang thân răng, các răng ngầm trong xương có thể tạo nang thân răng tiến triển âm thầm trong xương hàm. Nếu không được điều trị, xương hàm sẽ bị tiêu xương dần dần, làm tăng nguy cơ gãy xương hàm. Ngoài ra, khi răng khôn mọc lệch, làm xô đẩy có thể gây chen chúc các răng trước.
Qui trình tiểu phẩu răng khôn tại Nha khoa Thiên Chương
Bước 1: Khám tư vấn.
Bác sĩ kiểm tra tổng thể sức khỏe răng miệng của bạn (Tình trạng sâu răng, cao răng, viêm lợi,…) và chụp X-quang toàn bộ hàm răng để kiểm tra vị trí chân răng, giúp bác sĩ chẩn đoán chính xác hướng mọc, vị trí chân răng, xương hàm xung quanh răng khôn….
Bác sĩ kê toa thuốc để đảm bảo trong ngày phẩu thuật, sức khỏe răng miệng của bệnh nhân ở tình trạng tốt nhất.
Để đảm bảo việc nhổ răng khôn được an toàn, khoan miệng của bệnh nhân trước khi phẩu thuật phải sạch sẽ và khỏe mạnh. Vì vậy bác sĩ sẽ đề nghị bệnh nhân nên lấy vôi răng (nếu có) và vệ sinh răng miệng trước khi nhổ răng khôn.
Bác sĩ cho phiếu xét nghiệm về một chỉ số cơ bản như thời gian máu chảy (TS), thời gian máu đông (TC)…. Bệnh nhân cần thông báo cụ thể tình hình sức khỏe của mình cho Bác sĩ. Với những người có sức khỏe không tốt, mắc bệnh về tim mạch hay máu thì không nên tiến hành nhổ răng khôn.
Thông thường nhổ răng khôn sẽ được tiến hành vào buổi sáng, Đối với bệnh nhân nữ không nên nhổ răng trong thời gian kinh nguyệt hoặc đang mang thai.
Bước 2: Tiến hành phẩu thuật.
| Vô trùng phòng phẩu thuật và dụng cụ phẩu thuật. |
 |
| Kiểm tra huyết áp,sát khuẩn vùng răng cần nhổ của bệnh nhân. |
 |
| Bác sĩ gây tê vùng răng cần nhổ, sau đó sẽ thực hiện phẩu thuật với sự hổ trợ của một số dụng cụ nha khoa như kìm nhổ, dụng cụ nạy để bóc tách lợi và dây chằng cổ răng, tạo điều kiện cho việc lấy răng ra được dễn dàng. |
 |
Sau khi nhổ, bác sĩ sẽ khâu vùng nhổ răng. Cho bệnh nhân cắn chặt bông để cầm máu và kết thúc phẩu thuật.
Sau khi kết thúc phẩu thuật, Bác sĩ sẽ cho toa thuốc và hẹn bệnh nhân tái khám cắt chỉ sau 7 ngày.
Bước 3: Chăm sóc sau phẩu thuật.
- Sau khi nhổ răng, bệnh nhân thường phải cắn bông gòn trong khoảng 30 phút, thậm chí lâu hơn nữa nếu như chỗ răng vừa nhổ vẫn rỉ máu. Không khạc nhổ nước bọt suốt buổi, không súc miệng với nước muối.
- Sử dụng thuốc theo đúng toa của Bác sĩ.
- Có thể sưng lớn nhất vào ngày thứ hai rồi giảm dần.
- Chườm đá lạnh lên vùng má tương ứng tại vị trí nhổ răng trong ngày đầu tiên. Đá lạnh sẽ kích thích lên dây thần kinh giúp hạ nhiệt và thuyên giảm cơn đau nhanh chóng. Có thể dùng túi đá chườm khoảng 15-20 phút lên chỗ đau, dừng một lúc rồi lại tiếp tục chườm cho đến khi cơn đau giảm bớt. Chườm ấm cho những ngày tiếp theo, nước ấm có tác dụng làm tan máu tụ và giảm sưng.
- Chải răng bình thường cho những vùng còn lại. Dùng bàn chải mềm, chải nhẹ nhàng tại vị trí nhổ răng khôn sau mỗi bữa ăn.
- Ngày đầu tiên nên ăn cháo loãng, súp hoặc uống sữa, những ngày tiếp theo nên ăn đầy đủ chất dinh dưỡng. Tránh nhai ở vùng vừa nhổ răng xong.
- Nếu có bất thường như chảy máu nhiều, sưng lớn, đau kéo dài,... vui lòng tái khám hoặc gọi điện thoại ngay cho phòng mạch.
Các tin khác